અજબ ગજબ: જ્યારે કોઇના પેટમાં મળ્યો બલ્બ, તો કોઇના પેટમાં મળી..
આજે અમે જે લોકોની વાત તમારી આગળ કરવાના છીએને તે લોકો વિષે જાણીને તમને થશે કે આમને ખાવા માટે કંઇ ના મળ્યું તો તેમને આ ખાઇ લીધું. કંઇ નહીં કંઇ નહીંને સાવખે આ! આવા જ કેટલાક ઉદ્દગારો તમારા મોઢામાંથી ના નીકળે તો નવાઇ નહીં. જો કે અમુક કિસ્સામાં માની શકાય કે ભૂલથી આ વસ્તુઓ ખવાઇ ગઇ હશે પણ જ્યારે એક આતંકવાદી પોતાના શરીરમાં આખો હેન્ડગ્રેનેડ બોમ્બ મૂકી દીધો ત્યારે તો ખરેખરમાં હદ થઇ ગઇ હતી!
ધણા લોકો હોય છે જેમને અજીબો ગરીબ વસ્તુઓ ખાવાની આદત હોય છે. આવા જ એક કેસમાં એક બેનના પેટમાંથી 72 નાના મોટા છરી કાંટા નીકળ્યા હતા. પણ ધણીવાર ભૂલના કારણે પણ કેટલીક અજીબો ગરીબ ધટના બનતી હોય છે જેને જાણીને આપણને ખુદને નવાઇ લાગે છે આ વસ્તુ પેટ સુધી પહોંચી કેવી રીતે. તો જાણો કેટલીક આવી જ રસપ્રદ અને રોચક વાતો...

મેગનેટ
8 વર્ષના બાળકી મોતના મુખમાં જતાં માંડ માંડ બચી કારણ કે તેણીએ ભૂલથી ચળકતા મેગનેટ ગળી લીધા હતા. જો કે ઓપરેશન દ્વારા આ બાળકની બચાવી લેવામાં આવ્યા હતા.

72 ચમચા ચમચી
નેધરલેન્ડની માર્ગરેટ દાલમેન નામની મહિલાને જ્યારે એક વાર અચાનક જ પેટમાં દુખાવો થયો ત્યારે તે ડોક્ટર પાસે ગઇ અને ડોક્ટરે તેના પેટમાં જે જોયું તે જોઇને ભલભલા આશ્ચર્યચકિત થઇ ગયા. તેના પેટમાં 72 ચમચા, કાંટાનો આખો સેટ હતો.

ખિલ્લી
ચીનના એક કાર્પેન્ટર દ્વારા ભૂલથી એક ખીલ્લી ગળાઇ ગઇ. તેના મોઢામાં ખીલ્લી હતી અને તેને ખાંસી આવી અને તે ગળાઇ ગઇ. એટલું જ નહીં આ ખિલ્લી તેના ફેંફસામાં અટકી ગઇ. જો કે ભારે મહેનત બાદ સર્જરીથી તેને દૂર કરવામાં આવી.

હેન્ડ ગ્રેનેડ
એક આંતકવાદીએ તેની બુદ્ધિનું પ્રદર્શન કરતા તેના શરીરમાં હેન્ડગ્રેન્ડ છુપાવી દીધા. પણ તપાસ વખતે આ ગ્રેનેડ દેખાઇ ગયો. અને તેની પોલ ખુલી ગઇ.

જીવતી ઇલ
ઇલ નામની ભયાનક માછલી ચીનના આ ભાઇના પેટમાં કેવી રીતે પહોંચી ગઇ તે જાણીને તમે ચોંકી જશો. આ ભાઇ જ્યારે માછલી પકડવા ગયા ત્યારે તેના મળમાર્ગથી આટલી મોટી માછલી તેમના પેટમાં ધૂસી ગઇ. એટલું જ નહીં જ્યારે તેમની સર્જરી કરવામાં આવી ત્યારે પણ આ માછલી જીવતી હતી. અને સર્જરીની થોડી ક્ષણોમાં જ તે મરી ગઇ.

લાઇટ બ્લબ
એક પાકિસ્તાની કેદીના પેટમાંથી મળ્યો લાઇટ બ્લબ. હવે આ ત્યાં કેવી રીતે પહોંચ્યો તે પણ વિષે વિચારીને તો ડોક્ટરનો પણ આશ્ચર્યચકિત થઇ ગયા હતા.

ચમચી
એક 33 વર્ષીય મહિલા ભૂલથી ચમચી ગળી ગઇ. તેના મોઢામાં માછલીનો કાંટો ફસાયો હતો અને તેને નીકાળવા માટે તેને જ્યારે ચમચીનો ઉપયોગ કર્યો તો તે પણ ગળાઇ ગઇ. આને કહેવાય બાવાના બેય બગડ્યા

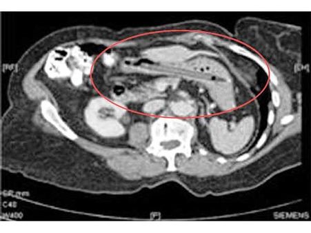
52 કેપ્સ્યુલ
એક નાઇઝિરીયન માણસને મલેશિયાના એરપોર્ટ પરથી જ્યારે પકડવામાં આવ્યો ત્યારે તેના પેટમાંથી 52 ડ્રગ્સની કેપ્સ્યુલ મળી. જે ખરેખરમાં જ મોટી માત્રામાં હતી.

બેટરી
13 વર્ષના બાળકની મોત આ જ બેટરીના ખાવાથી થઇ. તે બાળકે મસ્તીમાં બેટરી ગળી લીધી અને તેની મોત થઇ ગઇ. એટલા માટે જ નાના હોય કે મોટા તમામ બાળકોએ આવું કદી ના કરવું જોઇએ.

25 વર્ષથી પેટમાં પેન
આ 76 વર્ષીય માણસના પેટમાં પાછલા પચ્ચીસ વર્ષથી એક પેન પડી હતી. જેની તેને જાણ નહતી પેટમાં દુખાવો થતા જ્યારે એક્સ રે નીકાળ્યો ત્યારે આ વાતની તેને ખબર પડી. જેને નીકળવામાં આવી.

ચાવી
આ 18 વર્ષીય કમ્પ્યૂટર એન્જિનિયર પોતાના જ ઘરની ચાવી ગળી ગયો. જેથી તેના મિત્રો તેના ઘરમાં ના આવી શકે. એટલું જ નહીં ડોક્ટરે કહયું કે ચાવી નીકાળવા માટે સર્જરીની જરૂર નથી નેચરને તેનું કામ કરવા દો. અને આ ચાલી નેચરના એક કોલ દરમિયાન જ નીકળી છે.












Click it and Unblock the Notifications
