Teeth Tips: પીળા દાંતથી છો પરેશાન, આ ટિપ્સથી મળશે ચમકતા દાંત
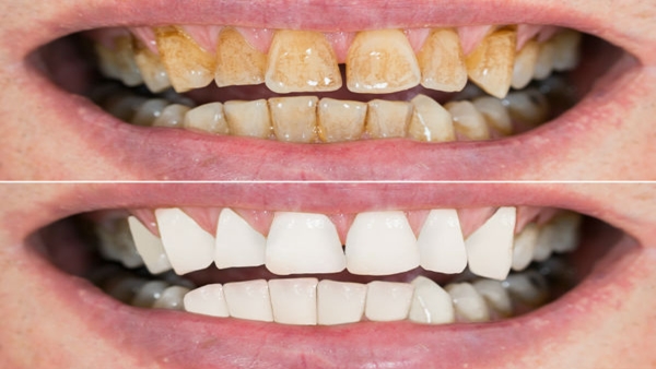
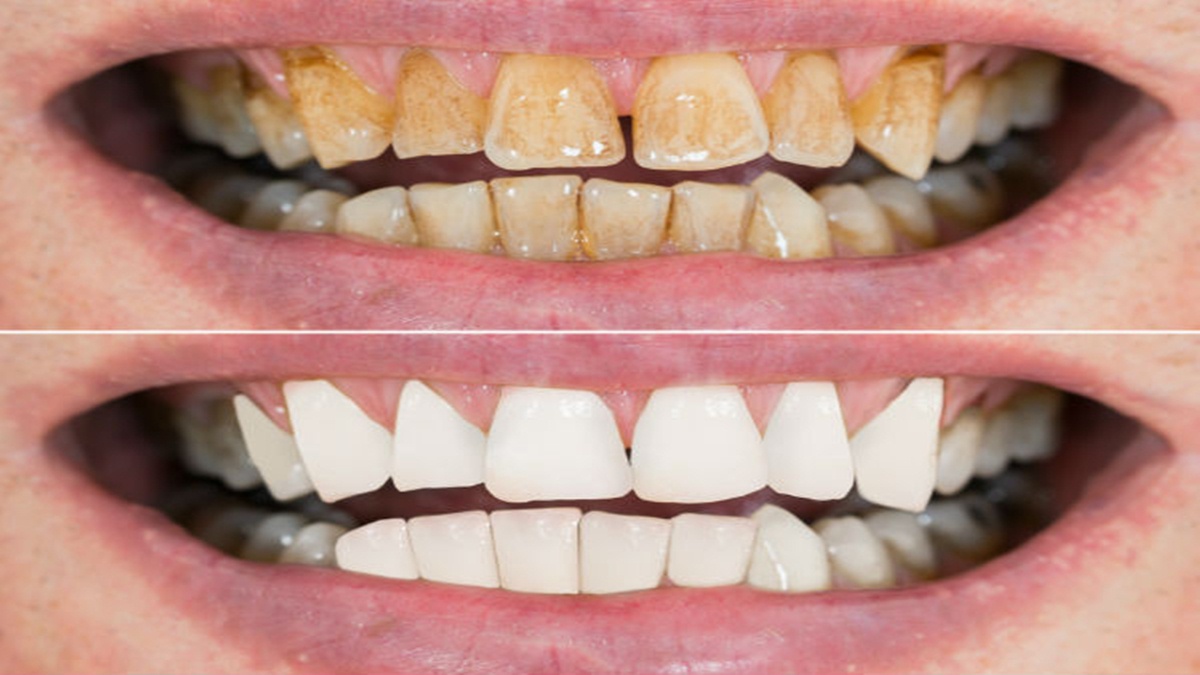
Teeth Tips: વર્તમાન સમયમાં ખાણીપીણી અને બદલાતી જીવનશૈલીના કારણે લોકોને ઘણી સ્વાસ્થ્ય સમસ્યાઓ આવી રહી છે. જેમાંથી પીળા દાંતની સમસ્યા એક છે. મોં અને દાંતોની ચમક માટે ઘાતક છે ખરાબ ખાણીપીણીની આદતો. ઘણા લોકો બ્રશ કર્યા બાદ પણ પીળાશ દુર કરવામાં નિષ્ફળ રહે છે.
દાંત પરનો પીળો પડ ખૂબ જ કદરૂપો લાગે છે અને આપણું સ્મિત છીનવી શકે છે. જ્યારે આપણા દાંત પીળા દેખાય છે, ત્યારે ક્યારેક આપણને તેના માટે શરમનો સામનો કરવો પડે છે. જોકે, લોકો દાંતને કેવી રીતે સફેદ કરવા, દાંતની પીળાશ કેવી રીતે દૂર કરવી, દાંતને ચમકદાર બનાવવાની રીતો શું છે, જેવા પ્રશ્નો પૂછતા રહે છે.

પીળા દાંતને ચમકાવવા માટે આપણે રોજ બ્રશ કરીએ છીએ, પણ શું એકલા બ્રશ કરવાથી આ જીદ્દી પીળા ડાઘ દૂર થાય છે? તમારા દાંતને ચમકાવવા માટે અમે તમારા માટે એક ઘરેલું ઉપાય લઈને આવ્યા છીએ, જે તમારા દાંતને થોડા જ દિવસોમાં મોતી જેવા ચમકદાર બનાવવામાં મદદ કરી શકે છે.
પીળા દાંતને ચમકદાર બનાવવાનો અસરકારક ઘરેલું ઉપાય - દાંત પર લાંબા સમય સુધી જામેલા પીળા પડને દૂર કરવા માટે કેટલીક આયુર્વેદિક વસ્તુઓ અસરકારક માનવામાં આવે છે. નિયમિત ટૂથપેસ્ટને થોડા સમય માટે બાજુ પર રાખો અને આ આયુર્વેદિક ટૂથ પાવડર અજમાવો. તેને બનાવવા માટે, તમારે એક ચમચી રોક મીઠું, એક ચમચી લવિંગ પાવડર, એક ચમચી તજ પાવડર, એક ચમચી મુળેઠી પાવડર, કેટલાક સૂકા લીમડાના પાન અને ફુદીનાના પાન જોઈએ.
હવે તમારે બધી વસ્તુઓને અલગ-અલગ પીસવાની છે અને પછી એક બાઉલમાં તમામ બારીક પાવડર મિક્સ કરી લેવાનો છે. તૈયાર છે, તમારો આયુર્વેદિક ટૂથ પાવડર. તમે તેને એરટાઈટ કન્ટેનરમાં રાખો.
દાંતને ચમકાવવા માટે આ પાવડરનો ઉપયોગ કેવી રીતે કરવો? - તમારા દાંત પર પાવડર લગાવવા માટે તમારી આંગળીનો ઉપયોગ કરો. તમારા હાથમાં પાવડર લો અને તમારી આંગળીથી તમારા દાંતને ઘસો. હવે તમારા મોંને પાણીથી સાફ કરો. થોડી જ વારમાં તમે તમારા દાંતના રંગમાં બદલાવ જોશો.
રોક મીઠું પીળા દાંતને કુદરતી સફેદ રંગ આપે છે, જ્યારે મુળેઠી અને લીમડો તમારા પેઢાને સ્વસ્થ રાખે છે. સંવેદનશીલ દાંત ધરાવતા લોકો માટે આ પદ્ધતિ ખૂબ જ ફાયદાકારક સાબિત થઈ શકે છે. તજ અને લવિંગ તમારા દાંત માટે ડિસેન્સિટાઇઝિંગ એજન્ટ તરીકે કામ કરે છે.
નોંધ : આ માહિતી ઇન્ટરનેટ પર ઉપલબ્ધ ધારણાઓ અને માહિતી પર આધારિત છે. OneIndia Gujarati આ લેખ સંબંધિત કોઈપણ ઇનપુટ અથવા માહિતીની ચકાસણી કરતું નથી. કોઈપણ માહિતી અને ધારણાઓ પર કાર્ય કરતા પહેલા અથવા લાગુ કરતા પહેલા સંબંધિત નિષ્ણાતની સલાહ લેવી જરૂરી છે.












Click it and Unblock the Notifications
