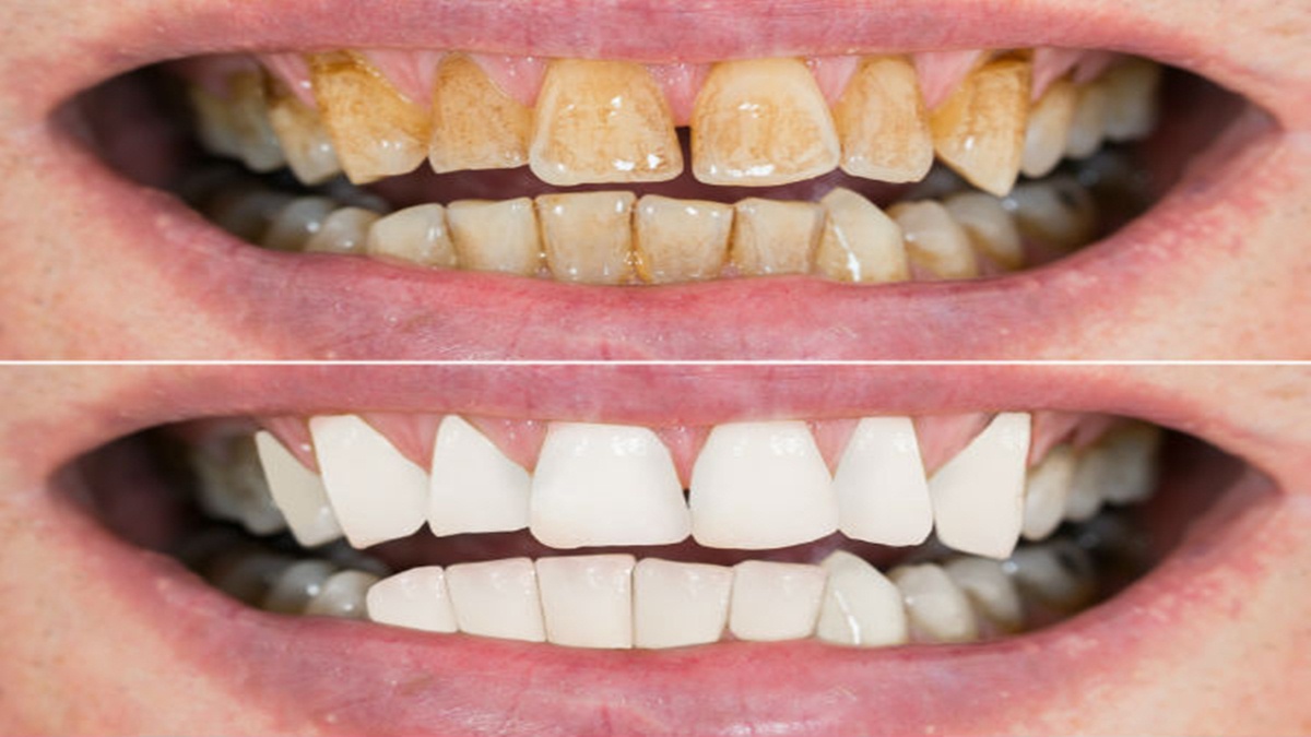
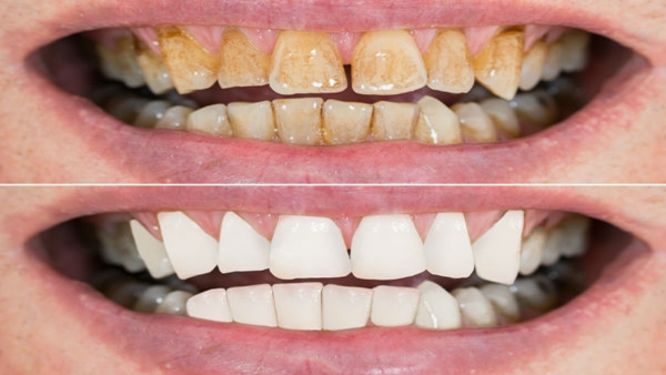
Oral Health Care : પીળા દાંત થી મળશે છુટકારો, આ ઘરેલુ ઉપાયથી દાંત થઇ જશે સફેદ
Oral Health Care : આપણે દાંત સાફ કરવા માટે રોજ બ્રશ કરીએ છીએ, પણ દાંતોની પીળાશ ઓછી થતી નથી. આ પીળા દાંતોના કારણે લોકો શરમ અનુભવે છે, અને જાહેરમાં ખુલીને હસી પણ શકતા નથી.
લગભગ તમામ લોકો સફેદ મોતી જેવા દાંતો ઇચ્છે છે. એ માટે ઘણા ઉપાયો પણ કરે છે, પણ તેમને દાંતોની પીળાશ દુર થતી નથી. આવા સમયે આજે આપણે આ અહેવાલમાં પીળા દાંતોને સાફ કરી સફેદ કરવાના ઘરેલું ઉપાયો વિશે જાણીશું.

કેટલાક લોકો દાંતને સફેદ કરવા માટે ઘરગથ્થુ ઉપાયો પણ શોધવા લાગે છે. જો તમે દાંતને સફેદ કરવા માટેના રામબાણ ઉપાયો જાણો છો, તો તે ખૂબ જ સરળ પણ બની જાય છે. આ અહેવાલમાં અમે તમારા માટે આવી જ કેટલીક રેસિપી લઈને આવ્યા છીએ, જેના વિશે બહુ ઓછા લોકો જાણે છે.
દાંતને ચમકદાર બનાવવા શું કરવું? - દાંત અને પેઢાના સ્વાસ્થ્ય માટે દરરોજ બ્રશ કરવું જ જરૂરી છે, આ સાથે સાથે કેટલીક ટ્રિક્સ અપનાવવી જરૂરી છે. તેમજ કેલ્શિયમથી ભરપૂર વસ્તુઓનું સેવન કરીને તેમને મજબૂત કરવાની જરૂર છે. આપણા મૌખિક સ્વાસ્થ્યને સ્વસ્થ રાખવા માટે આપણે કેટલાક બીજનું સેવન કરી શકીએ છીએ.
દાંતની ચમક અને પેઢાના સ્વાસ્થ્ય માટે તલ ખૂબ જ ફાયદાકારક માનવામાં આવે છે. સવારે વહેલા ઉઠીને શેકેલા તલ ચાવવાથી દાંત મજબૂત થાય છે. ચાવ્યા પછી ટૂથપેસ્ટ અથવા ટૂથપાઉડરનો ઉપયોગ કર્યા વિના નરમ ટૂથબ્રશથી તમારા દાંતને ફરીથી બ્રશ કરવાની ભલામણ કરવામાં આવે છે.
તલના બીજ દાંત માટે કેવી રીતે ફાયદાકારક છે? - તલના બીજમાં ભરપૂર માત્રામાં કેલ્શિયમ હોય છે, તે દાંત અને પેઢાની આસપાસના હાડકાંને સુરક્ષિત રાખે છે. તેઓ દાંતના દંતવલ્કના નિર્માણમાં મદદ કરતી વખતે તકતીને દૂર કરવામાં પણ મદદરૂપ હોવાનું માનવામાં આવે છે.
તલ ચાવવાના કેટલાક ફાયદા - એવું માનવામાં આવે છે કે, જ્યારે કોઈ વ્યક્તિ સવારે વહેલા ઊઠીને શેકેલા તલ ચાવે છે, તો તે લીવર અને પેટને ઉત્તેજિત કરવામાં મદદ કરે છે અને પાચન શક્તિને સુધારે છે. મૌખિક સ્વાસ્થ્યની કાળજી લેવી એ ફક્ત આપણા દાંત અને પેઢાં માટે જ નહીં પણ આપણા પાચન, અંગ અને પેશીઓના સ્વાસ્થ્ય માટે પણ અત્યંત ફાયદાકારક છે.
આયુર્વેદમાં તલને ચમત્કારિક બીજ માનવામાં આવે છે. તેઓ હાડકાં, દાંત અને વાળને મજબૂત બનાવવામાં સહાયક તરીકે કામ કરી શકે છે. આ બીજ કબજિયાતની સારવારમાં મદદ કરી શકે છે. આ સાથે, તે તીવ્ર ઉધરસને શાંત કરવા માટે પણ ફાયદાકારક છે.
નોંધ : આ સામગ્રી ફક્ત સલાહ સહિત સામાન્ય માહિતી પ્રદાન કરે છે. તે કોઈ પણ રીતે લાયક તબીબી અભિપ્રાયનો વિકલ્પ નથી. વધુ વિગતો માટે હંમેશા નિષ્ણાત અથવા તમારા ડૉક્ટરની સલાહ લો. OneIndia ગુજરાતી આ માહિતીની જવાબદારી સ્વીકારતું નથી.












Click it and Unblock the Notifications
