Yellow Teeth Remedies: પીળા દાંતથી મળશે છુટકારો, આ બે વસ્તુથી મોતી જેવા બનશે દાંત
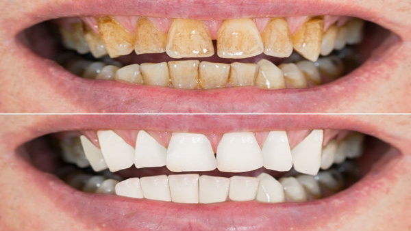
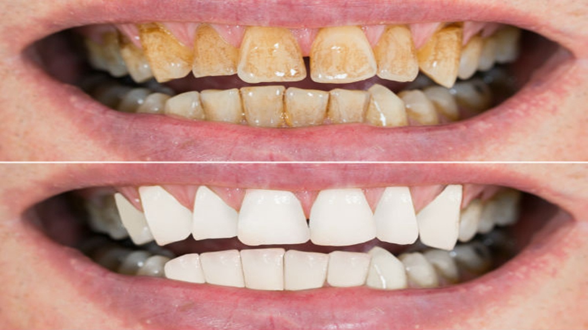
Yellow Teeth Remedies: દાંતોની પીળાશના કારણે હસતા, ગાતા કે વાતો કરતા સમયે અચકાટનો અનુભવ કરે છે. આ પીળાશનું કારણ છે દાંતોની અયોગ્ય સફાઇ કરવી. દાતોની યોગ્ય રીતે સફાઇ ન કરવાના કારણે અને ખોરાકના લીધે પીળા બની જાય છે.
પીળાશ જમા થવાથી, મોઢામાં શ્વાસ લેવાથી, ખાંડયુક્ત પીણાં પીવાથી, પાન મસાલા અને તમાકુ ખાવાથી, દવાઓ કે પીવાના સોડાને કારણે પણ દાંત પીળા પડી શકે છે. આ અહેવાલમાં આપણે જાણીશું કે, પીળા દાંતને કેવી રીતે સાફ કરી શકાય છે?

પીળા દાંત સાફ કરવાના ઘરેલુ ઉપાય
જો દાંત પીળા થઈ ગયા હોય, તો ઘરમાં બે વસ્તુઓ ખૂબ જ કારગર સાબિત થાય છે. આ વસ્તુઓ છે, ખાવાનો સોડા અને લીંબુનો રસ. બેકિંગ સોડાનો ઉપયોગ મોટાભાગે પીળા દાંત સાફ કરવા માટે થાય છે. આવા સમયે લીંબુનો રસ પીગળીને પીળાશ અને પ્લાકને દૂર કરવામાં મદદ કરે છે.
તમારે માત્ર એક બાઉલમાં ખાવાનો સોડા લેવાનો છે અને તેમાં લીંબુનો રસ ઉમેરવાનો છે. આ મિશ્રણને બ્રશમાં લો અને તેને દાંત પર ઘસો. આ રીતે, તમે જોશો કે ફક્ત 2 થી 3 ઉપયોગથી, તમે પીળાશથી છુટકારો મેળવશો અને તમારા દાંત સાફ દેખાવા લાગશે.
આ ટીપ્સ પણ ઉપયોગી થશે
કેટલાક અન્ય ઉપાયો પણ દાંતના પીળાશને દૂર કરવામાં અસરકારક સાબિત થઈ શકે છે. સ્ટ્રોબેરીને ક્રશ કરીને બ્રશની મદદથી દાંત પર ઘસવાથી દાંતની પીળાશ દૂર થાય છે.
મીઠું અને સરસવનું તેલ મિક્સ કરીને દાંત પર લગાવવાથી દાંત સાફ થવા લાગે છે. આ કુદરતી ઉપાય અજમાવવાથી તમે શ્વાસની દુર્ગંધથી પણ છુટકારો મેળવી શકશો.
ઘણા ફળોની છાલ પણ છે, જે પીળા દાંતને સાફ કરવામાં અસરકારક છે. ઉદાહરણ તરીકે જ્યારે કેળાની છાલનો અંદરનો ભાગ દાંત પર ઘસવામાં આવે છે, ત્યારે તેની અસર દેખાય છે અને નારંગીની છાલને સૂકવીને પીસીને દાંતને સફેદ કરવા માટેનો પાવડર બનાવવામાં આવે છે. આ પાવડરમાં પાણી મિક્સ કરીને તમે તમારા દાંત સાફ કરી શકો છો.
નોંધ : આ માહિતી ઇન્ટરનેટ પર ઉપલબ્ધ ધારણાઓ અને માહિતી પર આધારિત છે. OneIndia Gujarati આ અહેવાલ સંબંધિત
કોઈપણ ઇનપુટ અથવા માહિતીની ચકાસણી કરતું નથી. જેથી કોઈપણ માહિતી અને ધારણાઓ પર કાર્ય કરતા પહેલા અથવા અમલમાં
મૂકતા પહેલા સંબંધિત નિષ્ણાતની સલાહ લો.












Click it and Unblock the Notifications
