oral health tips : મોતી જેમ ચમકશે દાંત, આ ટિપ્સથી દાંતની પીળાશ થશે દૂર
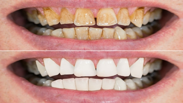
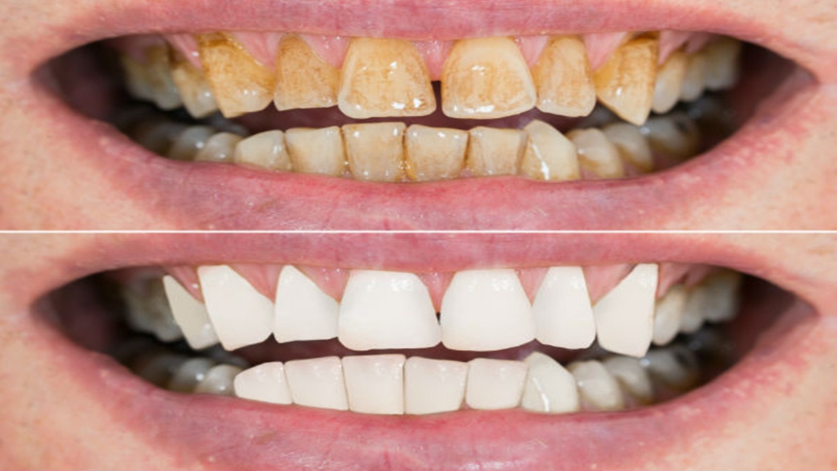
Oral Health Tips : શું તમારા દાંત પીળા છે અથવા તેના પર ડાધ છે? પીળા દાંતને કારણે તમે શરમ અનુભવો છો, તો આ અહેવાલ તમારા માટે જ છે. હવે તમારે પીળાશ દૂર કરવા માટે પૈસા ખર્ચવાની જરૂર નથી.
આ અહેવાલમાં જણાવેલી ટિપ્સથી તમે તમારા પીળા દાંતને સફેદ મોતી જેવા ચમકદાર બનાવી શકશો. આ અહેવાલમાં જણાવેલી ઘરેલું પેસ્ટ લગાવવાનું શરૂ કરો, પછી જુઓ 1 મહિનાની અંદર તમારા દાંત મોતી જેવા ચમકવા લાગશે.

પીળા દાંતથી છૂટકારો મેળવવાના ઘરેલું ઉપાય
જો તમારા દાંત વધુ પડતા પીળા પડી રહ્યા હોય, તો નારિયેળ તેલને થોડો સમય તમારા દાંત પર લગાવી રાખો. તેનાથી તમને ઘણી રાહત મળશે. તમે રાત્રે નારંગીની છાલને તમારા દાંત પર પણ ઘસી શકો છો. આનાથી તમારા મોંની દુર્ગંધ દૂર થઈ જશે અને દાંતની ગંદકી પણ સાફ થઈ જશે.
એક ચમચી મીઠામાં લીંબુનો રસ અને સરસવનું તેલ મિક્સ કરીને પેસ્ટ બનાવો. હવે તમે તૈયાર કરેલી પેસ્ટની મદદથી 3 દિવસ સુધી બ્રશ કરો. આવી રીતે દાંત પરના પીળા પડને ઘણી હદ સુધી ઓછું કરી શકાય.
લીમડાના દાંતણ દાંતના પીળાશને ઘટાડવામાં ખૂબ મદદરૂપ છે. બ્રશ કરવાને બદલે, આનાથી તમારા દાંત સાફ કરવાનું શરૂ કરો, પછી જુઓ કે તમારું મૌખિક સ્વાસ્થ્ય કેવી રીતે સુધરે છે.
પીળા દાંતથી છુટકારો મેળવવા માટે સ્ટ્રોબેરી અને મીઠું એકસાથે મેશ કરો અને બ્રશની મદદથી દાંત સાફ કરો, તેનાથી દાંત સફેદ અને ચમકદાર બનશે.
નોંધ : આ માહિતી ઇન્ટરનેટ પર ઉપલબ્ધ ધારણાઓ અને માહિતી પર આધારિત છે. OneIndia Gujarati આ લેખ સંબંધિત કોઈપણ ઇનપુટ અથવા માહિતીની ચકાસણી કરતું નથી. કોઈપણ માહિતી અને ધારણાઓ પર કાર્ય કરતા પહેલા અથવા લાગુ કરતા પહેલા સંબંધિત નિષ્ણાતની સલાહ લેવી જરૂરી છે.












Click it and Unblock the Notifications
