પૂંછડી સાથે જન્મ્યુ બાળક, ડોક્ટરો થયા હેરાન, સર્જરી કરી અલગ કરી પૂંછડી
વાંદરાઓ મનુષ્યના પૂર્વજો હોવાનું કહેવાય છે, પરંતુ માનવ ઉત્ક્રાંતિ સાથે પૂંછડી શરીરમાંથી લુપ્ત થઈ ગઈ. પરંતુ એક પૂંથડી સાથે બાળકીનો જન્મ મેક્સિકોમાં થયો છે. જે 6 સેમીની પૂંછડી સાથે જન્મી છે. આ જોઈને ડોક્ટરો પણ આશ્ચર્યચકિત
વાંદરાઓ મનુષ્યના પૂર્વજો હોવાનું કહેવાય છે, પરંતુ માનવ ઉત્ક્રાંતિ સાથે પૂંછડી શરીરમાંથી લુપ્ત થઈ ગઈ. પરંતુ એક પૂંથડી સાથે બાળકીનો જન્મ મેક્સિકોમાં થયો છે. જે 6 સેમીની પૂંછડી સાથે જન્મી છે. આ જોઈને ડોક્ટરો પણ આશ્ચર્યચકિત થઈ ગયા. બાદમાં સર્જરી બાદ તેને શરીરથી અલગ કરવામાં આવી હતી. ડોક્ટરોના મતે લાખોમાંથી એક બાળકમાં આવું થાય છે.

પૂંછડી પર થોડા વાળ પણ હતા
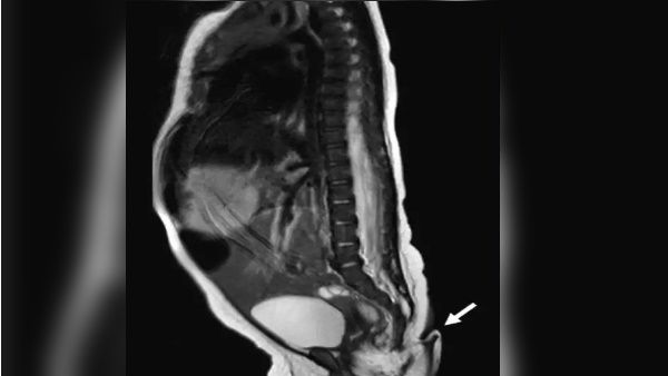
ઉત્તરપૂર્વ મેક્સિકોના ન્યુવો લિયોન રાજ્યની ગ્રામીણ હોસ્પિટલમાં સિઝેરિયન વિભાગમાં બાળકીનો જન્મ થયો હતો. દરમિયાન તબીબોની ટીમને બાળકીની પૂંછડી અંગે જાણ થઈ હતી. તેની લંબાઈ 5.7 સેમી અને વ્યાસ 3 થી 5 મીમી વચ્ચે હતો. પૂંછડી પર હળવા વાળ પણ હતા અને તેનો છેડો બોલ જેવો ગોળાકાર હતો. જેને જોઈને ડોક્ટરો પણ આશ્ચર્યચકિત થઈ ગયા. પૂંછડીની અંદર કોઈ વિસંગતતા અથવા હાડકાના બંધારણના પુરાવા મળ્યા નથી.

સ્વસ્થ હતી બાળકી
ડેઈલી સ્ટાર અનુસાર માતાને તેની ગર્ભાવસ્થા દરમિયાન કોઈ સમસ્યા નહોતી. રેડિયેશન, ચેપ વગેરેનો કોઈ અગાઉનો ઇતિહાસ પણ નહોતો. તેઓને પહેલેથી જ એક પુત્ર છે, જેનો જન્મ એકદમ સ્વસ્થ હતો. બાળકના એમઆરઆઈ સ્કેનમાં પણ મગજની કોઈ અસામાન્યતા દેખાઈ નથી. બાળક સંપૂર્ણપણે સામાન્ય અને સ્વસ્થ છે. જોકે, બાળકની સર્જરી તેના જન્મના બે મહિના બાદ કરવામાં આવી હતી.

ડોક્ટરોએ સર્જરી કરી પૂંછડી હટાવી
બાળક બે મહિનાનું થયા બાદ જનરલ સર્જરી ટીમ દ્વારા બાળકની ફરી તપાસ કરવામાં આવી હતી. બાળકીના તમામ ટેસ્ટ નોર્મલ આવ્યા હતા.જ્યારે ડોકટરો સંતુષ્ટ હતા કે તેનું વજન અને તેની ઉંમર માટે પર્યાપ્ત વૃદ્ધિ છે. તેણે બાળકની પૂંછડી પર સર્જરી કરી. આ બે મહિના દરમિયાન, બાળકની પૂંછડીની માળખાકીય લંબાઈમાં 0.8 સેમીનો વધારો નોંધવામાં આવ્યો હતો. જેના પર ડોક્ટરોનું માનવું હતું કે સમયની સાથે બાળકીના શરીર પરની પૂંછડી પણ વધતી જોવા મળત.

બ્રાઝિલમાં પણ 12 સેમી પૂંછડી સાથે બાળક જન્મ્યુ હતુ
અગાઉ બ્રાઝિલમાં એક બાળકનો જન્મ 12 સેમી લાંબી પૂંછડી સાથે થયો હતો. આ બાળકની પૂંછડીનો છેલ્લો ભાગ ક્રિકેટના બોલ જેવો ગોળ હતો. તે બ્રાઝિલના ઉત્તરપૂર્વમાં સ્થિત દરિયાકાંઠાના શહેર ફોર્ટાલેઝામાં આલ્બર્ટ સબિન ચિલ્ડ્રન્સ હોસ્પિટલમાં થયું હતું. આ ઘટના જાન્યુઆરી 2021ની કહેવાય છે. જોકે, ડોક્ટરોની ટીમે સફળતાપૂર્વક ઓપરેશન કરીને પૂંછડી કાઢી નાખી હતી.












Click it and Unblock the Notifications
